Το οστικό οίδημα αποτελεί μια παθολογική κατάσταση που χαρακτηρίζεται από αυξημένη συγκέντρωση υγρού στον μυελό των οστών. Εντοπίζεται συνήθως σε περιοχές όπως το γόνατο, το ισχίο, ο αστράγαλος και η ποδοκνημική, και σχετίζεται με τραυματισμούς, υπέρχρηση ή και εκφυλιστικές αλλοιώσεις.
Τι είναι το Οστικό Οίδημα;
Πρόκειται για μια “σιωπηλή” αλλά επώδυνη κατάσταση, που διαγιγνώσκεται μέσω μαγνητικής τομογραφίας (MRI). Τα συμπτώματα περιλαμβάνουν:
- Πόνο που επιδεινώνεται με την άσκηση ή τη φόρτιση
- Δυσκαμψία στην άρθρωση
- Περιορισμό στην κινητικότητα
- Ενίοτε διόγκωση στην προσβεβλημένη περιοχή
Η έγκαιρη διάγνωση είναι κρίσιμη για την αποτροπή επιπλοκών, όπως η νέκρωση του οστού ή η επιμονή των συμπτωμάτων για μεγάλο χρονικό διάστημα.
Διαμαγνητική Αντλία (Diamagnetic Pump) – Τι Είναι και Πώς Λειτουργεί;
Η διαμαγνητική αντλία αποτελεί μια σύγχρονη, μη επεμβατική τεχνολογία φυσικοθεραπείας που βασίζεται στην εφαρμογή ισχυρού μαγνητικού πεδίου για τη βελτίωση της μικροκυκλοφορίας, την αποσυμφόρηση των οιδημάτων και την προώθηση της κυτταρικής αναγέννησης.
Χρησιμοποιεί την αρχή της διαμαγνητικής απώθησης (Diamagnetic Effect), κατά την οποία ουσίες με αρνητική μαγνητική επιδεκτικότητα (όπως το νερό και τα φλεγμονώδη υγρά) απωθούνται από ισχυρά μαγνητικά πεδία.
Ωφέλειες σε περιπτώσεις οστικού οιδήματος:
- Μείωση του οιδήματος στον μυελό του οστού
- Αντιφλεγμονώδης δράση χωρίς παρενέργειες
- Βελτίωση της οξυγόνωσης και αιμάτωσης της περιοχής
- Επιτάχυνση της επαναφοράς της λειτουργικότητας
- Ελάττωση του πόνου ήδη από τις πρώτες συνεδρίες
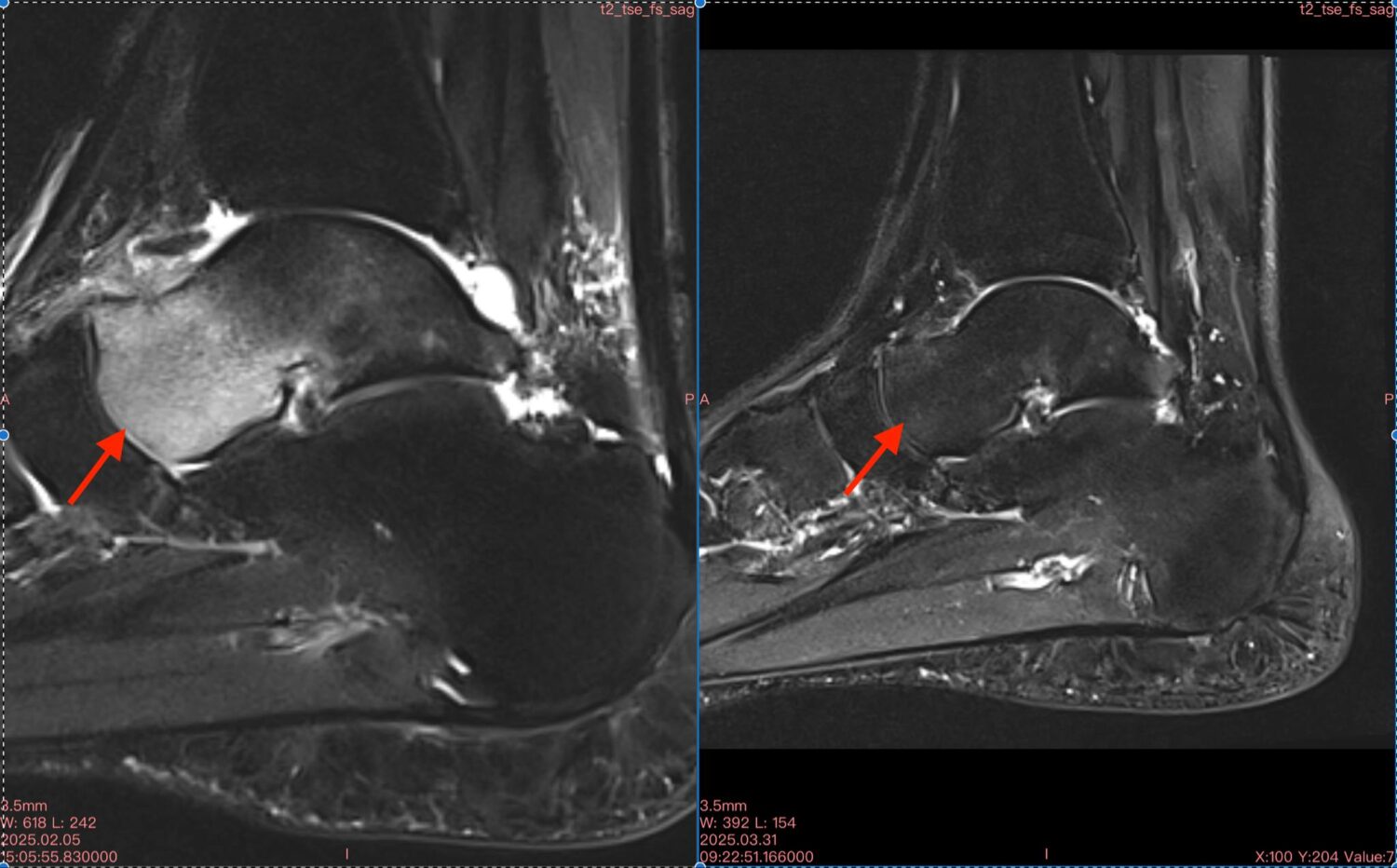
Μαγνητικές ασθενών με οστικό οίδημα πριν (αριστερή φωτογραφία) και μετά (δεξιά φωτογραφία) την θεραπεία με διαμαγνητική αντλία:




Επιστημονικά Δεδομένα και Κλινικές Μελέτες
Οι κλινικές μελέτες των τελευταίων ετών δείχνουν αυξανόμενο ενδιαφέρον για την εφαρμογή της διαμαγνητικής θεραπείας σε μυοσκελετικές παθήσεις, μεταξύ των οποίων και το οστικό οίδημα.
🔍 Ενδεικτική Μελέτη (2020, Journal of Physical Therapy Science):
Ασθενείς με οστικό οίδημα στο γόνατο που υποβλήθηκαν σε θεραπεία με διαμαγνητική αντλία για 2-3 φορές την εβδομάδα επί 4 εβδομάδες, παρουσίασαν στατιστικά σημαντική μείωση του πόνου (VAS) και βελτίωση στην κινητικότητα σε σύγκριση με ομάδα ελέγχου.
🔍 Μετα-ανάλυση (2022, Archives of Rehabilitation Research and Clinical Translation):
Ανασκόπηση 9 μελετών με συνολικό δείγμα >300 ασθενών έδειξε ότι η διαμαγνητική θεραπεία ήταν ασφαλής και αποτελεσματική στη μείωση του οιδήματος και του χρόνου αποκατάστασης.
Πρωτόκολλο Φυσικοθεραπευτικής Αντιμετώπισης
Η θεραπεία με διαμαγνητική αντλία εντάσσεται στο συνολικό πλάνο αποκατάστασης και συνδυάζεται ιδανικά με:
- Στοχευμένες ασκήσεις βέλτιστης φόρτισης (optimal loading) και μυϊκής ενδυνάμωσης
- Manual therapy (εφόσον δεν υπάρχει αντένδειξη)
- Εργονομικές οδηγίες για μείωση της μηχανικής φόρτισης
Συνήθως απαιτούνται 8-12 συνεδρίες, με συχνότητα 2-3 φορές την εβδομάδα, ανάλογα με τη βαρύτητα της κατάστασης και την ανταπόκριση του ασθενούς.
Συμπεράσματα
Η διαμαγνητική αντλία αποτελεί ένα σύγχρονο, ασφαλές και αποδεδειγμένα αποτελεσματικό εργαλείο για την αντιμετώπιση του οστικού οιδήματος. Μέσω της αποσυμφόρησης της περιοχής και της ενίσχυσης των φυσικών μηχανισμών επούλωσης, προσφέρει στον ασθενή ανακούφιση από τον πόνο και επιτάχυνση της αποκατάστασης — χωρίς φαρμακευτικές παρενέργειες.
🔹 Αν υποφέρετε από πόνο ή έχετε διαγνωστεί με οστικό οίδημα, επικοινωνήστε μαζί μας για μια εξατομικευμένη φυσικοθεραπευτική αξιολόγηση και ένα σύγχρονο θεραπευτικό πλάνο με τη χρήση διαμαγνητικής αντλίας.


